Dünya genelinde yaşlanan nüfusla birlikte artan bunama ve Alzheimer vakalarına karşı bilim dünyası, erken teşhis yöntemlerine odaklanmış durumda. NTU Lee Kong Chian Tıp Fakültesi (LKCMedicine) tarafından yürütülen ve Asya popülasyonuna odaklanan kapsamlı bir çalışma, beyindeki ‘genişlemiş perivasküler boşluklar’ ile bilişsel gerileme arasında doğrudan bir bağlantı olduğunu ortaya koydu.
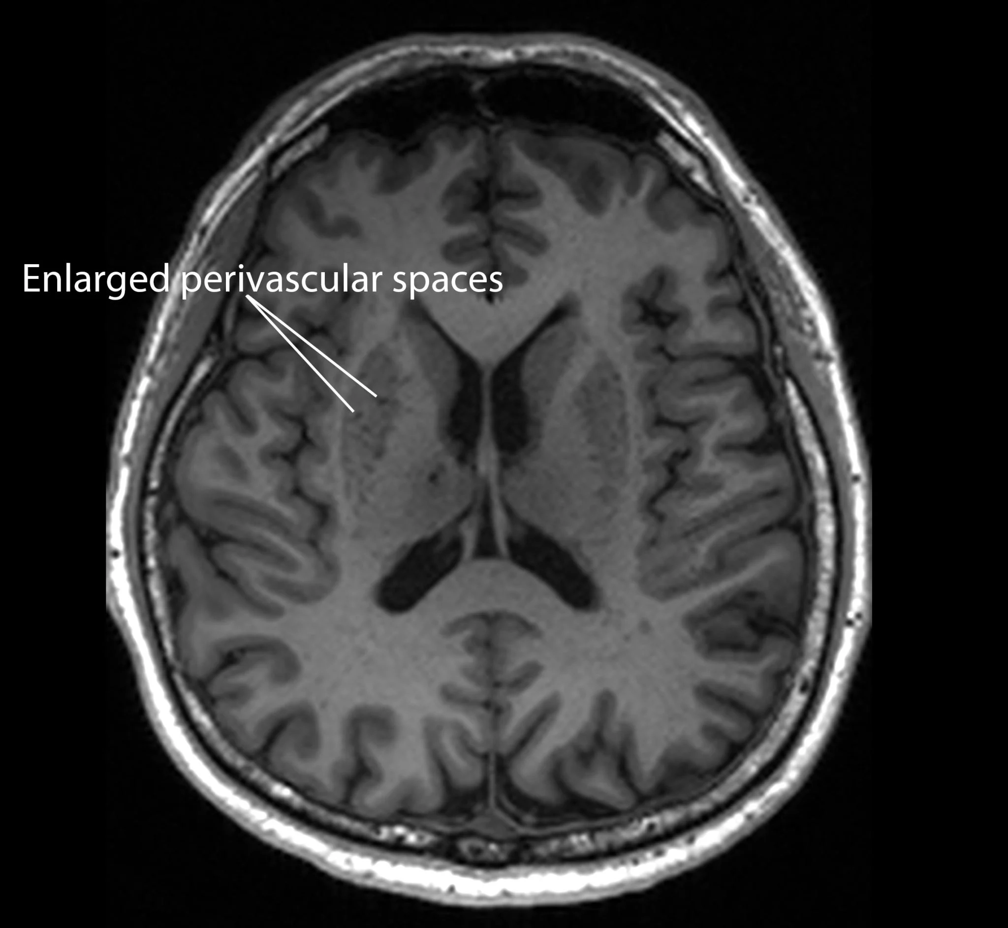
Beynin kan damarlarını çevreleyen bu mikro kanallar, Alzheimer hastalarında biriken beta amiloid ve tau proteinleri gibi zararlı atıkların temizlenmesinde kritik rol oynuyor. Sistem verimsizleşip tıkandığında ise bu boşluklar genişleyerek MR görüntülerinde belirgin hale geliyor.
EK TEST MALİYETİNE GEREK KALMAYABİLİR
Çalışmayı yöneten Doçent Nagaendran Kandiah, keşfin sağlık ekonomisi ve klinik pratik açısından önemini şu sözlerle vurguladı: "Bu beyin anormallikleri, bilişsel gerilemeyi değerlendirmek için halihazırda yapılan rutin Manyetik Rezonans Görüntüleme (MRG) taramalarında görsel olarak tespit edilebiliyor. Bu durum, ek testler yapmaya ve bunlar için ekstra ödeme yapmaya gerek kalmadan Alzheimer'ı daha erken tespit etmek için mevcut yöntemleri tamamlayıcı niteliktedir."
Çalışmanın baş yazarı Justin Ong ise erken teşhisin, doktorların müdahale şansını artırdığını ve hafıza kaybı gibi semptomların ilerlemesini yavaşlatabileceğini belirtti.
ASYA ODAKLI NADİR ÇALIŞMALARDAN BİRİ
Küresel Alzheimer araştırmalarının büyük çoğunluğu Kafkas kökenli deneklere dayanırken, bu çalışma Singapur'daki farklı etnik gruplardan yaklaşık 1.000 kişiyi kapsamasıyla öne çıkıyor.
LKCMedicine Bunama Araştırma Merkezi Direktörü Doç. Kandiah, genetik faktörlerin etnik kökene göre değiştiğine dikkat çekerek, "Örneğin, Alzheimer ile bağlantılı risk geni apolipoprotein E4'ün yaygınlığı Kafkas hastalarda yüzde 50-60 iken, Singapur'daki hastalarda bu oran yüzde 20'nin altındadır. Bu nedenle Asya popülasyonuna özgü veriler hayati önem taşıyor" değerlendirmesinde bulundu.
BEYAZ CEVHER HASARINDAN DAHA GÜÇLÜ BİR GÖSTERGE
Araştırmacılar, katılımcıların MR taramalarını ve kan değerlerini analiz etti. Hafif bilişsel bozukluğu olan bireylerde, beyin drenaj kanallarındaki tıkanıklıkların (genişlemiş perivasküler boşluklar), Alzheimer ile ilişkili biyokimyasallarla olan bağlantısının, geleneksel olarak bakılan ‘beyaz cevher hasarına’ kıyasla daha güçlü olduğu görüldü.
Bu bulgu, genişlemiş perivasküler boşlukların, hastalığın biyokimyasal belirtileriyle (amiloid plak ve tau yumakları) doğrudan ilişkili olduğunu ve kalıcı beyin hasarı oluşmadan önce bir erken uyarı sistemi olarak kullanılabileceğini gösteriyor.

KLİNİK UYGULAMADA YENİ BİR STANDART
Khoo Teck Puat Hastanesi'nden Dr. Rachel Cheong Chin Yee, bulguların klinik açıdan değerine işaret ederek, "Belirtiler ortaya çıkmadan önce risk altındaki kişileri belirlemek için beyin taramalarının daha dikkatli incelenmesi gerektiğini anlıyoruz" dedi.
Ulusal Üniversite Hastanesi'nden Dr. Chong Yao Feng ise serebrovasküler hastalıklar ile Alzheimer'ın birbirini tetiklediğine dikkat çekerek, doktorların MR sonuçlarını değerlendirirken damar tıkanıklıklarını sadece dolaşım sorunu olarak görmemeleri, Alzheimer riski açısından da değerlendirmeleri gerektiğini belirtti.